In a new study, researchers from LVPEI and University of Hyderabad identify two proteins, HIF1a and KAT2B, as potential biomarkers for retinoblastoma.
A cancer diagnosis is usually confirmed through a ‘biopsy;’ a small piece of tumor tissue is removed with a surgical instrument and examined under a microscope. This allows pathologists to determine if the tissue is cancerous, identify its origin and type, and help guide treatment. But retinoblastoma, a childhood eye cancer, poses a diagnostic challenge: the tumor develops within the eye, and biopsy would risk releasing tumor cells into the surrounding tissues. Doctors thus have no access to tumor tissue before starting treatment. Almost all tumor tissues become available only in advanced cases where enucleation (removal of the entire eyeball) remains the primary treatment. This has led researchers to explore alternative ways of studying the disease.
One diagnostic method of interest are small extracellular vesicles (sEVs) – tiny, fat-bound, messenger globules only 30-150nm in diameter. They are released by many types of cells (including tumor cells) to transport molecular cargo (proteins, RNA, DNA, lipids) and form a communication link between cells. Cancer cells spew sEVs that promote tumor progression, by altering the tumor microenvironment (the network of surrounding cells, blood vessels and molecules that support tumor growth). These vesicles carry the ‘molecular signature’ of the cells that produce them. As they are present in various biological fluids including blood, vitreous/aqueous humors, tears, and saliva, researchers are exploring whether these vesicle-associated proteins could serve as biomarkers for cancers like retinoblastoma.
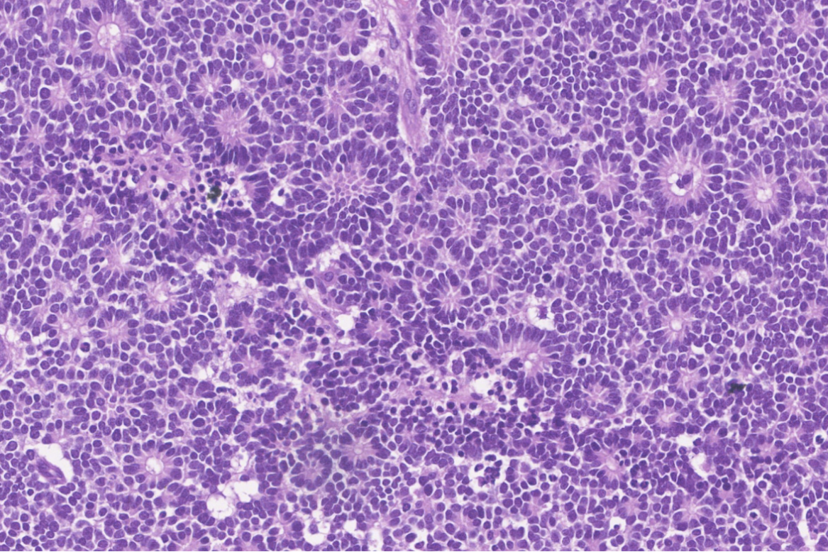
In a study published in Translational Vision Science and Technology, Saumya Jakati, Rani Pallavi , Swathi Kaliki and colleagues from LVPEI in collaboration with the School of Medical Sciences, University of Hyderabad examined 25 untreated retinoblastoma eyes (14 male) removed during enucleation and analyzed them using immunohistochemistry – a technique that uses antibodies to detect specific proteins in tissue samples. The study builds on earlier findings from the same group, who identified RNA cargo in sEVs isolated from the serum of retinoblastoma patients. The present study investigates if the sEV specific surface markers and cargo proteins previously detected in patient serum samples are also present in tumor tissues and absent from healthy retinal ones to confirm tumor-derived biomarkers.
Among the vesicle markers studied were CD9, CD63 and CD81 (proteins commonly found on the surface of extracellular vesicles) and TSG101 (a protein involved in vesicle formation and cargo sorting). Of these, TSG101 showed the highest expression (92%), indicating active vesicle production. The researchers also examined selected cargo proteins previously identified in vesicles: HIF1α (a transcription factor activated during low oxygen conditions), VEGFA (a protein that promotes blood vessel formation) and KAT2B (an epigenetic regulator that controls gene expression). HIF1α and KAT2B were expressed in 88% and 84% of the tumors respectively but were absent in healthy retinal tissue providing evidence for their potential as tumour-derived biomarkers. A larger sample size and more locations will add to these results.
'This pivotal study showcases the immunolocalization of small extracellular vesicle specific and their cargo markers in retinoblastoma tumor tissue. The functional role of cargo proteins HIF1A and KAT2B in retinoblastoma needs to be explored further to validate their role as tumor biomarkers,' notes Saumya Jakati, Associate Pathologist, LVPEI and first author of the paper.
Citation
Jakati S, Mocherla TR, Pallavi R, Manukonda R, Mishra DK, Vemuganti GK, Kaliki S. Evaluation of the Expression of Small Extracellular Vesicle Markers and Their Cargo in Treatment-Naïve Retinoblastoma Tumor Tissues. Transl Vis Sci Technol. 2026 Jan 5;15(1):30. doi: 10.1167/tvst.15.1.30. PMID: 41590412; PMCID: PMC12863267.
Photo credit: Saumya Jakati, LVPEI.


